Ο 38χρονος μετανάστης από το Σουδάν που ζει στη Μελβούρνη, δεν είχε αντιληφθεί ότι ένα σκουλήκι βρισκόταν μέσα στο σώμα του.
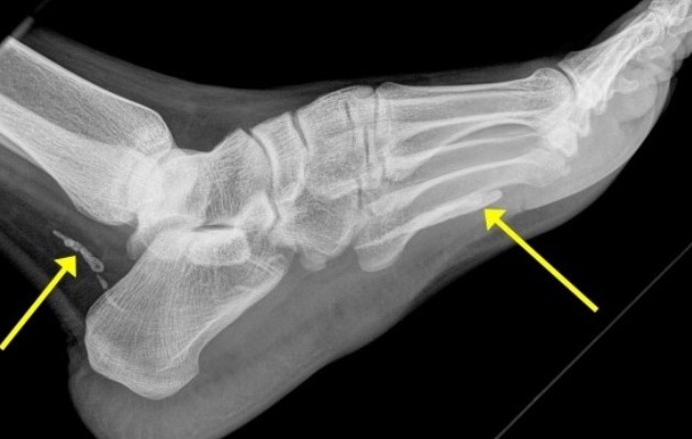
Τα υπολείμματα από το μήκους ενός μέτρου σκουλήκι φαίνονται καθαρά σε ακτινογραφία που έγινε στο νοσοκομείο St. Vincents του Σίδνεϊ.
Ο άνδρας, που έφτασε στην Αυστραλία πριν από τέσσερα χρόνια, επισκέφθηκε τους γιατρούς, διαμαρτυρόμενος για το πρησμένο πόδι του το οποίο τον πονούσε επί περίπου ένα χρόνο, γράφει η «Sydney Morning Herald».
Σύμφωνα με τον γιατρό Τζόναθαν Ντάρμπι, η ακτινογραφία έδειξε ότι δύο κομμάτια από το «σκουλήκι της Γουινέας» είχαν κουλουριαστεί στον αστράγαλο και την πατούσα του άνδρα.
Όπως τόνισε, το σκουλήκι είχε προφανώς πεθάνει και είχε αρχίσει να εκφυλίζεται μέσα στο σώμα του άνδρα. Κανονικά τα σκουλήκια αυτά ζουν στο έντερο και εισέρχονται στο σώμα μέσω των προνυμφών από το μολυσμένο πόσιμο νερό. Σκάβουν μέσα στη σάρκα και «δραπετεύουν» μόλις βρουν μια αμυχή στο δέρμα.
«Αυτή η όλη διαδικασία μπορεί να διαρκέσει χρόνια. Μπορεί να παραμένει μέσα στο ανθρώπινο σώμα ζωντανό για χρόνια ή να πεθάνει και να προκαλέσει προβλήματα στην περιοχή όπως στον συγκεκριμένο ασθενή» δήλωσε ο Δρ. Ντάρμπι.
Το παράσιτο, το οποίο απαντάται στο Νότιο Σουδάν, την Αιθιοπία, την Γκάνα και το Τσαντ, δεν μπορεί να θεραπευτεί και δεν μπορεί να μολύνει κάποιον άλλον.
Ο 38χρονος άνδρας έχει αναρρώσει πλήρως μετά την επέμβαση για την αφαίρεση του σκουληκιού.